Il s’agit d’un cancer rare, dont la cause principale est le papillomavirus ou HPV qui s’attrape par les voies sexuelles. C’est la persistance du virus au niveau du col qui va entrainer en premier lieu des lésions précancéreuses qui peuvent exceptionnellement évoluer vers un cancer environ 10 à 15 ans après la contamination.
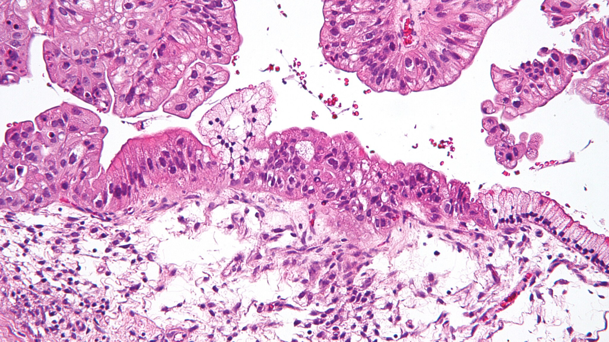
Le cancer de l’ovaire est une maladie de l’appareil génital féminin.
Dans la plupart des cas, il se manifeste entre 60 à 70 ans. Actuellement, environ près de 4 500 nouveaux cas de cancer de l’ovaire sont diagnostiqués par an en France.
Les mécanismes par lesquels un cancer de l’ovaire se développe sont connus. Cependant, on ne sait pas exactement pourquoi un cancer survient chez une femme. Chaque cancer de l’ovaire est différent. Il en existe plusieurs types, à des stades d’évolution variés. Chaque cancer nécessite donc un traitement approprié et individuel.
Le corps de l’utérus, en continuité avec le col, est constitué d’une épaisse paroi délimitant la cavité utérine. Trois tissus différents se superposent au niveau de la paroi :
- la séreuse à l’extérieur
- le myomètre au milieu
- l’endomètre à l’intérieur . C'est ici que se développe le cancer de l'endomètre
Une approche pluridisciplinaire pour apporter des soins de qualité adaptés à chaque situation...



